Todos los expertos advierten de que la neumonía provocada por el Coronavirus no causa problemas respiratorios hasta que ya es demasiado tarde. Se llama hipoxia silenciosa porque ataca a nuestro organismo sin que nos demos cuenta, sin que sintamos sensación de ahogo. Por eso es recomendable tener en casa un oxímetro.
En plena tercera ola y con la tasa de contagios desbordada la presión hospitalaria está aumentando de forma exponencial. Sanidad afirma que en los hospitales la “situación es crítica”.
Fernando Simón informa de 93.822 contagios y 767 fallecimientos en los últimos 4 días.
La nueva variante de la cepa británica supone el 5% de los positivos.
Un oxímetro de pulso o pulsioxímetro es un aparato médico que mide de manera indirecta la saturación de oxígeno de la sangre roja de un paciente, sin necesidad de extraer una muestra de sangre.
Por ello, un oxímetro a pulso puede detectar de forma temprana sobre los tipos de problemas respiratorios causados por el coronavirus.
Los médicos se han dado cuenta, durante el tiempo que llevan tratando a pacientes con Covid 19, que no se estaba detectando la neumonía mortal que causa el virus con la suficiente antelación. Eso provocaba que no tuvieran margen de actuación para no tener que conectar a los pacientes a los respiradores artificiales y para mantenerlos con vida.
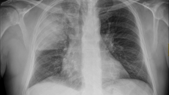
Los facultativos se han dado cuenta de que muchos de los enfermos que derivan en neumonía bilateral no advirtieron tener problemas respiratorios, aunque sus radiografías de tórax mostraron una neumonía difusa y sus niveles de oxígeno estaban por debajo de lo normal.
Por lo que llamamos “hipoxia silenciosa” un efecto que causa inicialmente una forma de privación de oxígeno en la primera semana de contagio.
La neumonía es una infección de los pulmones en la que los alvéolos se llenan de fluido o pus. Por lo general, los pacientes desarrollan molestias en el pecho, dolor al respirar y otros problemas respiratorios.
Sin embargo, cuando la neumonía por COVID-19 ataca por primera vez, los pacientes no sienten que les falta el aire, aun cuando sus niveles de oxígeno caen. Y para cuando les sucede, tienen niveles de oxígeno alarmantemente bajos y una neumonía de moderada a grave.
Los pacientes compensan el bajo nivel de oxígeno en su sangre respirando más rápida y profundamente, lo cual sucede sin que se den cuenta.
Esta hipoxia silenciosa, y la respuesta fisiológica del paciente a la misma, causa aún más inflamación y el colapso de más alvéolos.
Muchos pacientes no van al hospital hasta que su neumonía ya está muy avanzada, muchos acaban necesitando respiradores artificiales con las contra indicaciones que ello implica.
Los facultativos subrayan la necesidad de la detección temprana de la hipoxia silenciosa a través de un oxímetro de pulso que puede comprarse sin receta en la mayoría de las farmacias por un precio aproximado de 30 euros.
El oxímetro es igual de sencillo de usar que un termómetro. Estos pequeños dispositivos se encienden con un botón y se colocan en la punta de un dedo. En unos segundos, muestran dos números: la saturación de oxígeno y la frecuencia del pulso. Los oxímetros son extremadamente confiables para detectar problemas de oxigenación y frecuencias cardíacas elevadas.
MÁS SOBRE:
© Sociedad Española de Radiodifusión, S.L.U. 2026. Todos los derechos reservados
© Quedan reservados todos los derechos tanto sobre programas radiofónicos y las obras y prestaciones que formen parte de ellos, como sobre los contenidos publicados en esta página web. Sociedad Española de Radiodifusión SLU ejerce la oposición expresa frente al uso de sus obras y prestaciones en la elaboración de revistas de prensa prevista en el artículo 32.1 del TRLPI. Sociedad Española de Radiodifusión SLU realiza la reserva expresa frente la reproducción, distribución y comunicación pública de sus trabajos y artículos sobre temas de actualidad prevista en el artículo 33.1 del TRLPI, asimismo, también realiza una reserva expresa de las reproducciones y usos de las obras y otras prestaciones accesibles desde este sitio web a medios de lectura mecánica u otros medios que resulten adecuados a tal fin de conformidad con el artículo 67.3 del Real Decreto - ley 24/2021, de 2 de noviembre, así como frente a cualquier utilización de sus contenidos por tecnologías de inteligencia artificial, sea cual sea su naturaleza y finalidad.